home
Images RX
- images echo - images CT
Beelden van de MRI
Abdomen
-
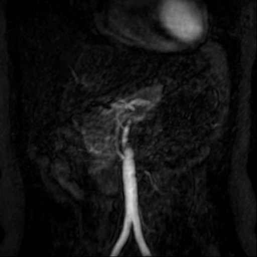
Angio abdominaal
-
bekken
-
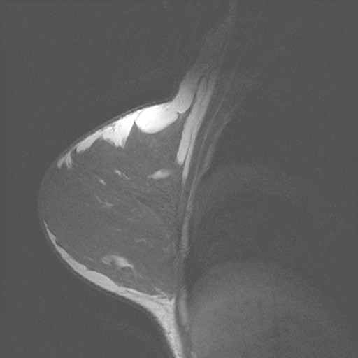
borst
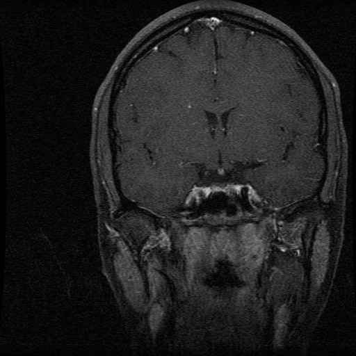
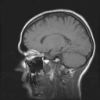
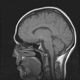
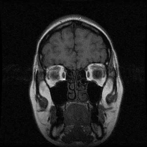
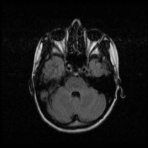
Schedel
-
CWZ
-
LWZ
Abdomen
Angio abdominaal
Bekken
Borst
Schedel
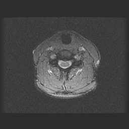
CWZ
LWZ